Dr. Gagandeep Sachdeva and Team Successfully Perform Robotic Knee Replacement Surgery

Despite these challenges, Dr. GagandeepSachdeva and his skilled team took on the case with meticulous planning and precision.

Feb 18, 2025 - 13:22
Feb 18, 2025 - 17:36
Dr. Gagandeep Sachdeva and Team Successfully Perform Robotic Knee Replacement Surgery
Dr. Gagandeep Sachdeva and Team Successfully Perform Robotic Knee Replacement Surgery

Mohali : Dr. Gagandeep Sachdeva, Director of Orthopedics and a leading joint replacement specialist, successfully performed a highly complex robotic knee replacement surgery on a 75-year-old male at SohanaMultispeciality Hospital. 

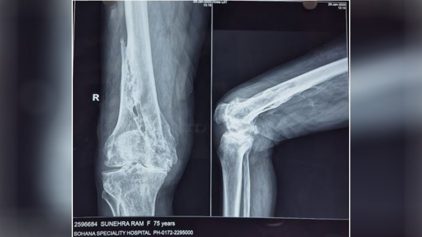
The case involved a 75-year-old male patient suffering from severe post-traumatic arthritis due to an old malunited fracture of the right distal femur. The complexity of the case was compounded by significant cardiac comorbidities, including a low ejection fraction (30%), making conventional total knee replacement (TKR) infeasible. Before meeting Dr. Sachdeva, the patient had been refused at multiple centres due to the high perioperative risk and the need for specialized robotic and navigation-assisted expertise.

Despite these challenges, Dr. Gagandeep Sachdeva and his skilled team took on the case with meticulous planning and precision. Preoperative CT imaging and comprehensive cardiac and anaesthesia evaluations paved the way for a personalized surgical approach. The fully automated joint replacement robotic assistance was instrumental in ensuring accurate gap balancing and tracking, which is crucial for achieving optimal surgical outcomes in this complex scenario.

Dr. Gagandeep Sachdeva, an esteemed orthopaedic surgeon and international joint replacement specialist, has been at the forefront of introducing advanced robotic-assisted surgical techniques at Sohana Hospital. His leadership has enabled the hospital to perform nearly 4000 plus Robo surgeries, more than 20000 conventional surgeries and 3,000 joint replacement and complex orthopaedic surgeries annually, establishing it as a centre of excellence in orthopaedics.

The team successfully executed the surgery using cutting-edge robotic precision, ensuring minimal trauma and enhanced accuracy. Postoperatively, the patient achieved remarkable progress, being mobilized with full weight bearing from Day 1 and attaining a 0 to 90-degree knee range of motion. The patient was discharged on Day 4, pain-free and walking independently. 
While discussing his latest endeavour, Dr. Sachdeva commented, "This case was particularly challenging due to the patient's severe post-traumatic arthritis and significant cardiac comorbidities. However, we achieved unparalleled precision in bone preparation and implant positioning through robotic assistance, ensuring a successful outcome. Robotic-assisted surgery is a game-changer for complex cases like these, enabling us to offer hope and mobility to previously deemed inoperable patients." 

This successful case further solidifies Sohana Hospital's reputation as a leader in advanced robotic joint replacement surgeries, offering hope to patients with complex orthopaedic conditions.